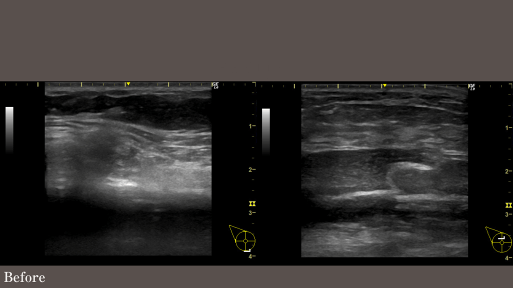
39歳女性 右胸のアクアフィリング除去を行っています。左胸は感染のため、入院して除去されたとのことです。
バスト下縁に落ち込み、形が崩れています。





15563
39歳女性 右胸のアクアフィリング除去を行っています。左胸は感染のため、入院して除去されたとのことです。
バスト下縁に落ち込み、形が崩れています。





15563
お気軽にご相談ください
THE CLINICでは他院の施術による失敗治療も数多く行っております。
すでに失敗でお悩みの方も、症状が悪化する前にまずはご相談ください。