女性化乳房VASER脂肪吸引 6カ月経過

胸部側胸部 脇肉前ベイザー脂肪吸引, 28歳男性 172cm 86.8kg BMI 29.3

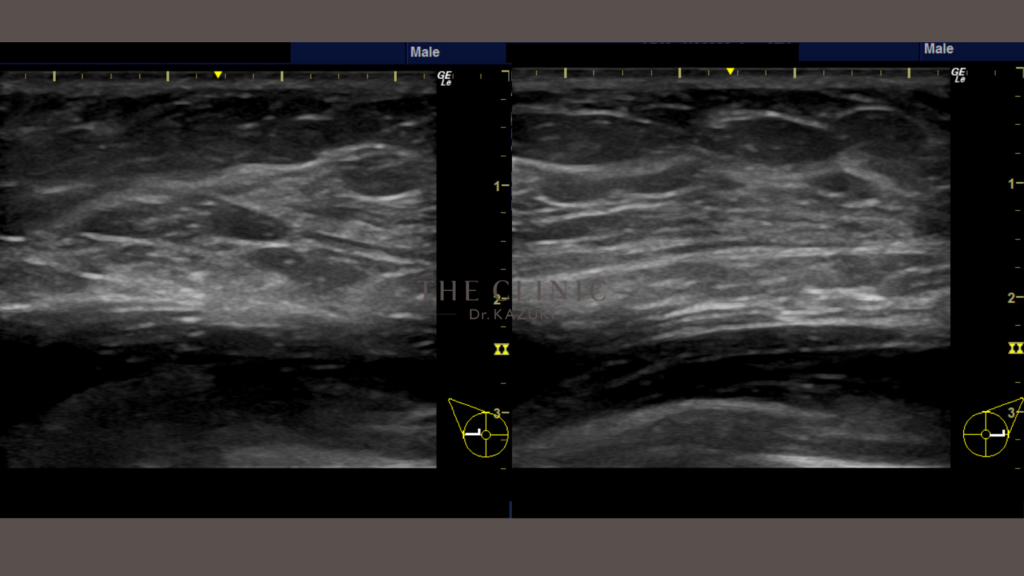
術前のエコーで、乳腺の厚みも確認されましたが、デザインされたベイザー脂肪吸引によるボリュームダウンと皮膚引き締まりにより、胸のふくらみが解消されました。「脇肉前」も一緒に吸引したことにより、脇前の脂肪の膨らみも解消されています。

変化のポイント
正面: バストトップ周辺の突き出したような膨らみが解消され、引き締まった男性らしい胸板に変化しました。

横・斜め: 前方への突出がなくなり、胸から脇にかけてのラインがスッキリしました。横から見た際の厚みが劇的に改善されています。

皮膚の引き締め: ベイザー波の熱作用により、脂肪吸引後の皮膚がたるむことなく、胸筋のラインに沿って綺麗にフィットしています。

注意点・アドバイス
術後の完成目安は6カ月です。この時期には拘縮(硬さ)も落ち着き、自然な質感に仕上がります。よりボリュームダウンを図る場合には、乳腺切除が必要なケースもあります。「脂肪」が主因であれば、吸引のみで胸のふくらみの解消が可能です。まずはエコー検査で、ご自身のタイプを確認することをお勧めします。

06628

関連記事

キーワードで検索

お気軽にご相談ください

THE CLINICでは他院の施術による失敗治療も数多く行っております。
すでに失敗でお悩みの方も、症状が悪化する前にまずはご相談ください。

  • THE CLINIC(ザ・クリニック)東京院
    0120-60-3929 +81-3-5775-3400
    IP電話 海外から
  • THE CLINIC(ザ・クリニック)名古屋院(愛知)
    0120-05-3929 +81-52-955-8366
    IP電話 海外から
  • THE CLINIC(ザ・クリニック)大阪院(梅田)
    0120-77-3929 +81-6-6313-0015
    IP電話 海外から
  • THE CLINIC(ザ・クリニック)広島院
    0120-80-3929 +81-82-236-6136
    IP電話 海外から
  • THE CLINIC(ザ・クリニック)福岡院(天神)
    0120-98-3929 +81-92-732-3155
    IP電話 海外から
電話受付時間
10:00-19:00 受付時間外
TOP

LINE個別相談をする

ドクターメール相談

カウンセリング予約